栏目分类
新闻中心
呼吸与危重症医学科罗少华:开展首例复杂支气管异物激光分解取出术
来源: 发布时间:2023/5/26 作者:张雯 阅读数:6114
近期,在省医派驻学科带头人罗少华主任带领下,我院呼吸与危重症医学科率先在河源地区使用经支气管镜激光消融取异物及冷冻消融增生肉芽组织,并且已成功开展多例复杂支气管异物取出术,效果良好。
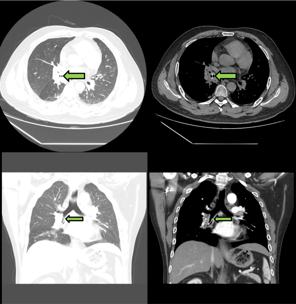
今年3月,一名46岁男性患者前来我院就诊,患者表示前后有四年时间反复出现呼吸困难的情况,尤其近半年愈发严重,呼吸的时候会出现异响,因此来我院就医。呼吸与危重症医学科立即安排患者住院,并且查看到这名患者4年前就在我院确诊慢性阻塞性肺疾病,因为患者有精神类疾病,因此没有进行过规律的治疗。为了进一步完善检查,我院给患者安排了胸部增强CT,提示右肺中叶支气管异物存留并管壁炎性增厚,建议纤支镜检查,同时右肺下叶部分支气管粘液存留,右肺下叶及左肺散在炎症。完善支气管镜后发现中间段支气管内可见一长条形、不规则异物,周围可见大量肉芽组织,管腔轻度狭窄,粘膜表面可见大量白斑及黄白色痰液粘附,下叶支气管开口重度狭窄。
胸部增强CT见异物,伴开口狭窄
支气管镜下见异物,肉芽组织增生
结合患者病史、胸部增强CT及常规气管镜所见,罗少华主任在查房后指出:患者反复呼吸困难,是哮喘合并异物导致气管狭窄所致;咳嗽、咳痰加重的情况跟气管狭窄有关,因此取出异物、减轻气管狭窄和气管重塑成了本次治疗的关键,这种情况可以行支气管镜下激光消融取异物+冷冻治疗。但是本次治疗的难点,在于虽然异物诊断明确,但异物过大无法完整取出,在罗主任的主持下,大家充分讨论,最终决定在全麻下为患者行支气管镜下激光消融分解并取出异物+冷冻消融治疗。
罗少华主任(左二)及呼吸内镜介入团队在手术中
呼吸内镜介入团队在手术中
使用激光消融及冷冻消融
术中取出异物的碎片之一
罗少华主任介绍,气管异物,气管、支气管异物是内科常见急诊,常见于右主支气管异物,若处理不当或者误诊可导致喉头水肿,肺炎、呼吸困难等一系列并发症,严重者可危及生命。因此早期准确的诊断和及早取出异物极为重要。
此次治疗的患者虽然在电子支气管镜检查及胸部CT均已明确异物诊断,但由于呛咳时间不明,加上异物较大,而且异物周围已存在大量肉芽组织包裹,同时伴随大量肉芽组织及疤痕增生,导致气管重度狭窄,这种情况下如果触碰极易出血,给异物的取出增加了难度。而激光消融可在狭窄的支气管内对异物进行拆分,将异物分解成多个碎片取出,因此减少了出血的风险。
什么是Nd:YAG激光消融术?
Nd:YAG激光消融术因高效、快捷、微创、无出血风险、术后并发症少等优势,近年成为推崇的热消融新方法。对比创伤较大的外科手术,其对手术麻醉深度要求更低。冷冻不仅可有效去除增生的肉芽组织,还可以减轻术中出血。支气管镜下热消融加冷冻消融治疗成为当前相对新颖、安全、简便、有效的治疗方式。本次手术患者经上述治疗后,气道异物完全取出,肉芽组织减少,管腔通畅,术后达到了预期治疗效果。目前我科已经多次开展类似手术操作,先后在支气管内取出豌豆、动物骨架等较大、质地较硬、取出较困难的异物,为河源当地的患者减轻痛苦,同时降低了治疗费用。
其他术中取出异物
异物阻塞气道的悲剧是不可预知的。在我们规避风险的社会中,我们可以尝试消除一些增加风险的因素,例如:运动时不吃东西。正确咀嚼食物。避免醉酒。不给小孩整个葡萄及花生。若发生窒息,海姆立克急救法具有很高的成功率 (86.5%)。
如何进行海姆立克急救法?
1.寻找可以做腹部冲击的固定物体,如桌子边缘,椅背;
2.将上腹部压向该物体;
3.反复进行,直到塞物吐出力动作。
我院呼吸与危重症医学科诊治疾病不仅覆盖常见病、多发病,而且兼顾少见或罕见病,以呼吸内镜介入技术为重要诊治手段,不断开拓、进取,服务于更多有需要的患者。支气管镜下热消融加冷冻消融治疗,为支气管较大异物伴肉芽组织过度增生患者治疗提供了新的治疗方法和手段,填补了河源地区该医疗技术领域的空白,为河源及周边地区患者提供了便利。
专家简介
罗少华
广东省人民医院河源医院呼吸与危重症医学科学科带头人
主任医师、硕士研究生、在读博士
社会任职
• 省基层医药学会呼吸病专委会常委兼秘书
• 省基层医药学会肺癌专委会常委
• 省临床医师协会肺血管及介入专委会常委
• 省精准医学应用学会肿瘤综合治疗分会常委
• 省精准医学应用学会抗感染分会委员
• 中国呼吸肿瘤协作组南区(泛大湾区呼吸肿瘤联盟)委员
• 民进广东省委会社会服务工作委员会副主任委员
• 第六届“羊城好医生”
在广东省人民医院工作至今,长期从事呼吸内科方面的诊疗工作。对于肺部阴影、肺部结节、淋巴结肿大等征象,具有敏锐的鉴别能力,熟练掌握呼吸科常见疾病(如哮喘、慢阻肺、支扩、肺部肿瘤、胸腔积液、气胸、间质性肺病等)的诊治,对少见/罕见病也有着丰富的临床诊疗经验,擅长以呼吸内镜介入为主的多种技能及肺部肿瘤的全程综合管理(如气道支架置入、球囊扩张、活瓣肺减容、冷冻肺活检、热凝切、EBUS-TBNA、气道瘘封堵、硬质气管镜、内科胸腔镜、经皮肺穿刺活检术、输液港植入术等)。主持或者参与国家级或省级医学研究课题多项,发表论文十余篇。
门诊时间:每周二上午及周四上午








