栏目分类
新闻中心
年轻女子罹患额叶深部大型血管瘤,神经外科妙设入路巧摘除
来源: 发布时间:2023/12/7 作者:叶锦欢 阅读数:5079
省医在河源 名医在身边
近日一女子因“反复头痛”症状到我院治疗,经详细检查后,发现右侧额叶深部血管瘤。神经外科学科带头人、副院长王鹏与神经外科二区负责人叶志其会诊后认为:患者诊断考虑为右侧额叶深部-基底节区海绵状血管畸形伴发育性静脉异常并出血,病灶体积大、结构复杂,已反复出血并导致头痛、呕吐等症状,如病情继续发展,将出现严重的颅高压症状,甚至有生命危险,神经外科团队迅速与患者家属沟通,为患者制定最佳治疗方案。
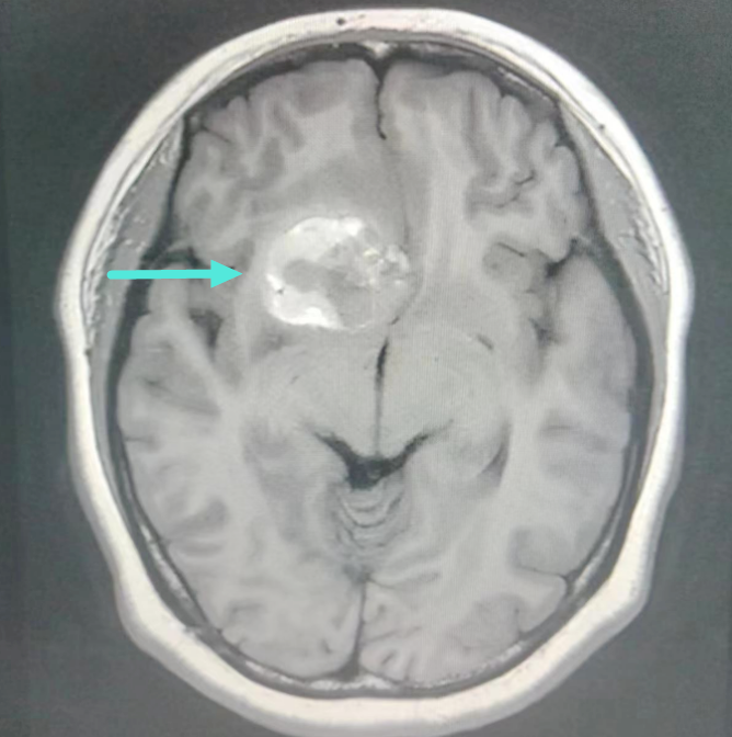
▲MRI提示右侧额叶深部-基底节区海绵状血管
畸形伴发育性静脉异常并出血
结合病情,手术团队立即联合影像医学科、麻醉科召开多学科术前讨论会,考虑病情复杂、病灶位置深在、可能对神经功能影响明显,且患者为年轻女子,对容颜保持的要求较高,会上经过充分讨论后,决定采用“额外侧入路”,这样的手术切口设计有明显的优势:1、手术路径短,损伤脑组织少,术后不影响神经功能;2、切口在头发内,不影响容颜,备皮范围约右侧耳廓上-额发际内2cm,只需要剪一点点的头皮,不需要“剃光头”。
▲术前全科讨论、多学科会诊
在做好充分术前准备后,11月24日由副院长王鹏亲自主刀,在显微镜下顺利完成手术,完全切除血管瘤,并送病理检查;术中几乎无出血,对正常脑组织损伤小。
▲备皮、标示右额发际内手术切口
▲患者满意术后恢复
术后康复良好,未发现神经功能损害症状如肢体偏瘫、感觉异常、抽搐发作等,在外科快速康复理念指导下患者早期即可下床活动。因伤口设计在发际内,备皮范围小,几乎看不到手术疤痕,容貌如常、依然长发飘飘、笑颜如花。
科普:脑海绵状血管瘤
脑海绵状血管瘤(CM),指由众多薄壁血管组成的脑内海绵状异常血管团,是一种少见的血管疾病。病因不明,在人群中的发生率估计为0.5%~0.7%,占所有脑血管畸形的8%~15%。因部分患者无症状,故确切的人群发生率仍不确知,被称为"沉默瘤"。脑海绵状血管瘤好发于30~40岁,无明显性别差异,从位置上看幕上多于幕下。
主要临床表现依次为癫痫(35.8%,癫痫为海绵状血管瘤最常见的症状,几乎两倍于脑动静脉畸形)、颅内出血(25.4%,女性尤其是孕妇、儿童和既往有出血史的患者具有相对高的出血率,本疾病出血多不严重,除非位于重要功能区,否则很少危及生命)、神经功能障碍(20.2%)和头痛(6.4%)、无临床症状者(12.1%或轻度头痛可能为惟一的主诉),有的患者有一种以上的临床表现。临床病程变异较大,可以有急性或慢性神经功能障碍,可出现缓解期或进行性加重。
脑海绵状血管瘤诊断并不困难,颅脑CT可提示出血病情,颅脑MRI诊断海绵状血管瘤具有较高的诊断特异性与敏感性,必要时需完善脑血管造影(DSA)评估血管情况。
脑海绵状血管瘤是一种良性疾病,但因反复出血诱发癫痫或头痛症状,常影响日常生活,甚至危及生命,如有以上症状,需及时就医。专科医生会根据病情采取合适治疗方案。外科手术是治疗脑海绵状血管瘤最有效的方式,且对于体积较大(直径大于4cm)且引起明显压迫的病变,脑室内、凸面硬膜下脑海绵状血管瘤倾向于优先考虑手术切除。
▲神经外科二区集体照
我院神经外科是具有综合救治能力的区域神经外科中心,依托广东省人民医院平台,我院神经外科得到高速长足发展,如有相关疾病,请尽快联系我科就诊。
专家简介
王鹏
副院长、神经外科学科带头人
主任医师、医学博士、教授、硕士研究生导师
主要社会任职:
●广东省人民医院神经外科功能与脊柱脊髓亚专业组组长
●广东省杰出青年医学人才
●中国研究型医院协会脊柱脊髓专业委员会委员
●广东省医学会神经外科分会青年委员会副主任委员
●广东省医学会创伤委员会委员
●广东省医师协会神经外科分会第三届青委会副主任委员
擅长显微手术治疗颅内和椎管内各种肿瘤如脑膜瘤、胶质瘤、颅咽管瘤、听神经瘤、转移瘤、海绵状血管瘤、神经鞘瘤、室管膜瘤、胆脂瘤、血管母细胞瘤等。在三叉神经痛、面肌痉挛的微血管减压术、复杂脑积水等疾病的外科治疗上具有丰富的临床经验。专长于脊髓脊柱疾病的微创手术治疗。
门诊时间:每周四上午
杨建雄
神经外科主任兼一区主任
主任医师
主要社会任职:
●河源市医学会神经外科分会主任委员
●广东省基层医药学会神经外科专委会副主任委员
从事神经外科工作20多年。获得市科学技术进步奖一等奖1次,二等奖2次,三等奖1次。发表专业学术论文10多篇。专长:颅脑损伤、脑肿瘤、脑血管、先天畸形等神经外科疾病的诊治,对重型颅脑损伤、高血压脑出血等有丰富的临床经验。
门诊时间:每周二上午
叶志其
神经外科一区副主任兼神经外科二区负责人
主任医师、外科第三党支部书记
主要社会任职:
●河源市医学会神经外科分会副主任委员、秘书长
●广东省基层医药学会神经外科专委会常委
对神经外科常见疾病的诊治有丰富的临床经验,如:脑肿瘤、颅脑损伤、脑出血、三叉神经痛、面肌痉挛、颅内感染、各种先天畸形等,对重型颅脑损伤的手术救治、高血压脑出血的各种手术治疗有深度造诣和独到见解,能开展脑肿瘤、三叉神经痛、面肌痉挛等疾病在显微镜或神经内镜下微创手术。
门诊时间:每周一上午










