栏目分类
新闻中心
脑干不再是禁区——神经外科成功开展脑干海绵状血管瘤切除手术
来源: 发布时间:2023/11/30 作者:杨文佼 阅读数:6888
省医在河源 名医在身边
脑干,以前是生命的禁区,大量的病人死于脑干出血,延髓是脑干的重要组成部分,其主要功能为控制呼吸、心跳等,若延髓海绵状血管瘤增大或反复出血,将会引起呼吸、心跳骤停危及生命。近日,神经外科成功施行我院首例脑干海绵状血管瘤切除手术,开启了我院神经外科脑干手术的新篇章。
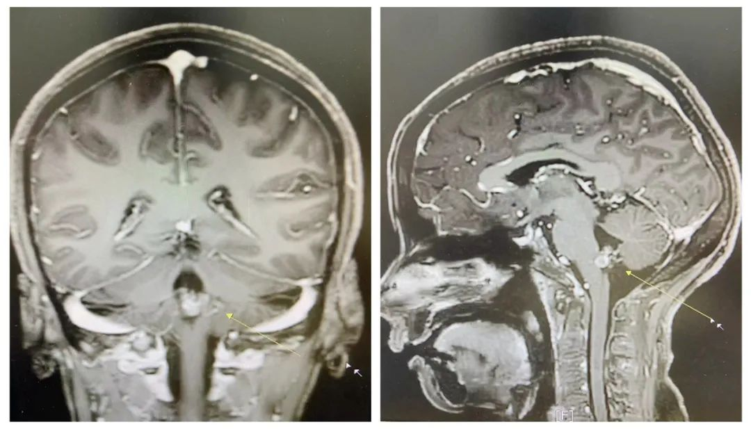
▲患者术前磁共振图片
患者陈某,女,46岁,因“突发视物晃动伴头痛”入住我院,颅脑增强MRI检查提示:延髓海绵状血管瘤。我院副院长、神经外科学科带头人王鹏及神经外科叶志其主任医师会诊,详细询问病史及翻阅检查资料后认为:患者诊断考虑延髓海绵状血管瘤合并瘤内出血。目前患者有明显临床症状,有切除手术指征。
▲术前多学科病情讨论
秉着对患者充分负责的态度,副院长王鹏组织了手术前的多学科联合讨论,讨论会上各级医师充分发表意见,设计手术方案,讨论术中风险及应对措施,术中、术后注意事项,影像科学科带头人李景雷、神经内科主任朱敏真、麻醉科主任刘文养分别对患者的病情、麻醉评估做了精准发言,随后手术团队制定手术方案,做好术前准备、术前告知。因脑干手术,患者心理压力极大,护理团队进行了心理辅导,专家团队于11月15日为患者进行手术治疗。
▲术后复查CT提示:血管瘤完整切除
术后患者视物晃动、头痛症状明显缓解,术后恢复快,第二天即可下床活动,语言流利清晰,无吞咽困难,饮水呛咳等,无后遗症。得知成功摘除这个不定时炸弹,又没有后遗症,患者及家属都非常高兴。
▲患者赠送锦旗
疾病小科普
中枢神经系统海绵状血管瘤又称海绵状血管畸形,并非真性肿瘤,而是一种较为隐匿的先天性血管畸形,具有一定生长能力,占颅内血管畸形的10%-25%,仅次于脑动静脉畸形(AVM)。其中脑干海绵状血管瘤约占颅内海绵状血管瘤的9%~35%,约占脑干占位性病变的1/3,脑桥海绵状血管瘤占脑干海绵状血管瘤的60%,年再出血率为35%。海绵状血管瘤最常见的临床表现为癫痫(50%)、脑内出血(25%)和局灶性神经功能缺损(25%),其中不同程度的出血是引起其他并发症的基础。无症状性脑内CMs占20%-50%,多因脑MRI的广泛应用而偶然发现。
科室简介
我院神经外科是河源市重点学科,是河源市医学会神经外科学分会主委单位,是广东省人民医院"一对一"紧密合作共建单位。目前引进广东省人民医院神经外科知名专家、医学博士、 教授、主任医师、硕士研究生导师王鹏教授任广东省人民医院河源医院副院长、神经外科学科带头人。神经外科分两个病区,现开放总床位80张。每年收治住院患者1500余人,年手术量近1000例。目前重点开展的业务范畴:1、各种类型的脑肿瘤、脊髓肿瘤手术切除术;2、脑动脉瘤、脑动静脉畸形、脑海绵状血管瘤、硬脑膜动静脉瘘、颈动脉海绵窦瘘、烟雾病等脑血管疾病介入和/或显微手术诊疗;颈动脉内膜剥脱术;3、三叉神经痛及面肌痉挛微血管减压术、难治性癫痫的外科手术;4、颅脑损伤的综合诊治:轻、中、重、特重型颅脑损伤的救治,急性硬膜外、硬膜下、脑内血肿等的开颅血肿清除术、去骨瓣减压术、颅骨骨折整复术等;5、其它神经外科常见病、多发病的治疗,如:颅骨缺损修补术(义板颅骨修补、自体颅骨修补)、慢性硬膜下血肿清除术、硬膜下积液、脑积水腹腔分流术、大面积脑梗死去骨瓣减压术等。如发现或怀疑有关神经系统方面的临床问题可到院或电话咨询。
神经外科门诊:周一到周五正常工作时间
科室咨询电话:神经外科一区:3185794
神经外科二区:3185676
专家简介
王鹏
副院长、神经外科学科带头人
主任医师、医学博士、教授、硕士研究生导师
主要社会任职:
●广东省人民医院神经外科功能与脊柱脊髓亚专业组组长
●广东省杰出青年医学人才
●中国研究型医院协会脊柱脊髓专业委员会委员
●广东省医学会神经外科分会青年委员会副主任委员
●广东省医学会创伤委员会委员
●广东省医师协会神经外科分会第三届青委会副主任委员
擅长显微手术治疗颅内和椎管内各种肿瘤如脑膜瘤、胶质瘤、颅咽管瘤、听神经瘤、转移瘤、海绵状血管瘤、神经鞘瘤、室管膜瘤、胆脂瘤、血管母细胞瘤等。在三叉神经痛、面肌痉挛的微血管减压术、复杂脑积水等疾病的外科治疗上具有丰富的临床经验。专长于脊髓脊柱疾病的微创手术治疗。
门诊时间:每周四上午
杨建雄
神经外科主任兼一区主任
主任医师
主要社会任职:
●河源市医学会神经外科分会主任委员
●广东省基层医药学会神经外科专委会副主任委员
从事神经外科工作20多年。获得市科学技术进步奖一等奖1次,二等奖2次,三等奖1次。发表专业学术论文10多篇。专长:颅脑损伤、脑肿瘤、脑血管、先天畸形等神经外科疾病的诊治,对重型颅脑损伤、高血压脑出血等有丰富的临床经验。
门诊时间:每周二上午
叶志其
神经外科一区副主任兼神经外科二区负责人
主任医师、外科第三党支部书记
主要社会任职:
●河源市医学会神经外科分会副主任委员、秘书长
●广东省基层医药学会神经外科专委会常委
对神经外科常见疾病的诊治有丰富的临床经验,如:脑肿瘤、颅脑损伤、脑出血、三叉神经痛、面肌痉挛、颅内感染、各种先天畸形等,对重型颅脑损伤的手术救治、高血压脑出血的各种手术治疗有深度造诣和独到见解,能开展脑肿瘤、三叉神经痛、面肌痉挛等疾病在显微镜或神经内镜下微创手术。
门诊时间:每周一上午








