栏目分类
新闻中心
【河源首例】呼吸与危重症医学科成功为气管食管瘘患者置入Y形覆膜支架
来源: 发布时间:2024/5/12 作者:钱政通 巫雄辉 阅读数:9853
省医在河源 名医在身边
近日,我院呼吸与危重症医学科在省医派驻专家、呼吸与危重症医学科学科带头人罗少华带领下,成功为一例气管食管瘘患者行Y形覆膜金属支架置入术,显著改善患者生活质量,也为其后续治疗创造了条件。
患者,男,61岁,确诊食管癌1月余,入住我院肿瘤科。入院时患者吞咽困难,进食时频繁呛咳,咳嗽、咳痰症状严重,同时营养状也急剧恶化。完善胸部CT及电子支气管镜检查,明确诊断为气管食管瘘,食管肿瘤坏死后穿透左主支气管膜部,形成异常瘘道。
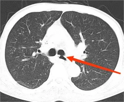
▲术前胸部CT(箭头指向为气管食管瘘口)
在全院多学科联合会诊上,罗少华主任认为:患者食管癌进展导致气管食管瘘、食物或消化道分泌物从瘘口进入气管致患者咳嗽、咳痰症状,可导致患者反复肺部感染、甚至出现呼吸衰竭等情况,另外对患者营养摄入也带来极大的阻碍,严重危害患者的健康;传统外科修补术创伤较大,并发症多,目前较好的方法是置入气管支架,对气管食管瘘口进行封堵、隔绝。经充分讨论,在取得患者及家属同意后,计划为患者行硬质支气管镜下Y形覆膜金属支架置入术。
▲术后胸部CT(支架位置良好,完全覆盖瘘口)
在手术室麻醉科团队的配合下,罗少华主任带领呼吸内镜介入团队,为患者实施手术,从全麻、肌松到插入硬质气管镜,再到释放气管支架,全程不到15分钟,镜下见支架位置良好固定,完全覆盖瘘口,手术顺利,患者术后恢复良好,咳嗽、咳痰症状明显减轻,达到预期效果。
▲罗少华主任呼吸内镜介入团队在手术中
气管食管瘘一直是外科、肿瘤科的治疗难题,传统外科手术创伤较大,容易发生胸腔感染,且该类患者通常因为肺部感染或因恶性肿瘤导致身体状况差,外科手术风险高。而气管支架封堵瘘口可以迅速恢复消化道或呼吸道的完整性,快速缓解症状,且该方法创伤小、操作简单、短期较为安全,已成为气管食管瘘的重要治疗方法。术后可以提高患者的生存质量,从而有效延长患者生存期,并未后续治疗。
我院呼吸与危重症医学科在学科带头人罗少华带领下,已常规开展多种检查及治疗项目,包括CT引导经皮肺穿术、内科胸腔镜、支气管肺泡灌洗(BAL)、经支气管镜粘膜活检(TBB)、冷冻肺活检(TBCB)、超声支气管镜引导下经支气管针吸活检(EBUS-TBNA)等;以及良恶性气道狭窄的各种治疗技术:包括冷冻治疗、高频电刀、氩等离子体凝固术(APC)、支架置入、球囊扩张术、各种气道瘘封堵术等。我们将继续竭尽全力,以精湛的医疗技术和优质的医疗服务,为河源及周边地区的呼吸疾病患者提供帮助。
专家简介
罗少华
呼吸与危重症医学科学科带头人
主任医师
在广东省人民医院工作至今,长期从事呼吸内科方面的诊疗工作。对于肺部阴影、肺部结节、淋巴结肿大等征象,具有敏锐的鉴别能力,熟练掌握呼吸科常见疾病(如哮喘、慢阻肺、支扩、肺部肿瘤、胸腔积液、气胸、间质性肺病等)的诊治,对少见/罕见病也有着丰富的临床诊疗经验,擅长以呼吸内镜介入为主的多种技能及肺部肿瘤的全程综合管理(如气道支架置入、球囊扩张、活瓣肺减容、冷冻肺活检、热凝切、EBUS-TBNA、气道瘘封堵、硬质气管镜、内科胸腔镜、经皮肺穿刺活检术、输液港植入术等)。主持或者参与国家级或省级医学研究课题多项,发表论文十余篇。
门诊时间:每周二上午及周四上午
杨龙峰
呼吸与危重症医学科呼吸二区主任
主任医师
擅长对肺癌、肺结节、慢阻肺、哮喘、肺心病、肺部感染性疾病、呼吸衰竭、间质性肺病、胸膜疾病等呼吸系统疾病的诊治和呼吸介入诊疗技术。
门诊时间:每周一全天
刘国栋
呼吸与危重症医学科一区主任
主任医师
从事呼吸内科临床工作二十余年,具有深厚的专业理论知识和丰富的临床经验。擅长对支气管扩张、肺部真菌病、肺脓肿、支气管哮喘、慢性阻塞性肺疾病、肺血管疾病、间质性肺病、肺部肿瘤等呼吸系统疾病进行诊治,在呼吸内科常见病和疑难危重症的诊治方面积累了丰富经验。
门诊时间:每周五全天
陈勇
呼吸内镜中心主任
副主任医师
擅长呼吸内科常见病、疑难病例的诊治,如:慢性咳嗽、上呼吸道感染、慢性阻塞性肺疾病、支气管哮喘、支气管扩张、肺炎、肺部肿瘤、气胸、肺结节、间质性肺炎等;擅长呼吸内镜介入治疗、内科胸腔镜、经皮肺穿刺活检等。
门诊时间:每周日全天








