栏目分类
新闻中心
精准识别、快速再通容易被遗忘的脑血管:神经内科成功救治一例后循环急性脑梗死昏迷患者
来源: 发布时间:2025/11/11 作者:张文胜 阅读数:1647
近日,神经内科成功救治一例后循环急性脑梗死昏迷患者,患者为老年女性,既往无特殊疾病,因出现意识不清1小时余由家属送至我院急诊医学科就诊。急诊医学科请神经内科住院总医师梁广逍紧急会诊后,为患者紧急查行颅脑CT检查未见出血,结合患者昏迷、双侧病理征阳性等体征,考虑患者为后循环急性脑梗死,有静脉溶栓的指征,经家属同意后予静脉溶栓治疗,到院至首剂静脉溶栓药物时间仅28分钟。
静脉溶栓的同时,紧急为该患者完善颅脑磁共振检查,磁共振提示双侧丘脑超急性期梗死,血管序列提示右侧椎动脉纤细、基底动脉通畅。磁共振检查完毕后,患者意识仍不清,神经内科主任江震钦迅速组织脑卒中救治团队对患者的病情进行紧急讨论,深入分析患者病情,患者的诊断需与低血糖脑病、一氧化碳中毒、静脉窦血栓形成、双侧丘脑肿瘤、Wernicke脑病、基底动脉尖综合征等鉴别,因患者起病急、迅速达到高峰,综合考虑后认为是容易被遗忘的脑血管Percheron动脉闭塞导致患者的昏迷,有紧急血管内介入治疗、动脉溶栓的指征,征得家属同意血管内介入治疗。
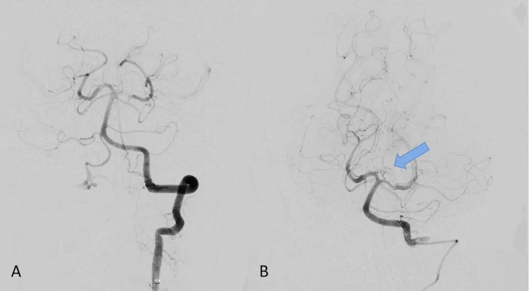
▲A显示左侧大脑后动脉P1段显影模糊、Percheron动脉显影不清;B显示Percheron动脉正常显影
在神经内科二区主任朱敏真指导下,张文胜主治医师、古鸿力主治医师紧急为患者实施了脑血管造影和血管内介入治疗术。术中发现左侧大脑后动脉P1段显影模糊,考虑局部存在血栓,同时Percheron动脉显影不清,有急诊取栓和动脉溶栓的指征,与患者家属充分沟通风险和获益后,患者家属同意急诊取栓和动脉溶栓治疗。经过血栓抽吸、动脉溶栓后,抽出少量血栓,同时可见Percheron动脉正常显影,股动脉穿刺到血管完全恢复耗时65分钟。手术成功后,复查颅脑CT未见出血。
▲取出的血栓
术后第1天,患者意识恢复,无明显肢体无力、言语不清等症状。后续完善相关检查发现患者存在卵圆孔未闭,考虑患者脑梗死的发病机制为心源性栓塞可能性大,请心血管内科会诊协助诊治,患者后期拟行卵圆孔未闭封堵手术治疗。出院时,患者无明显神经功能缺损,恢复至发病前状态。
针对罕见的Percheron动脉闭塞,我科凭借前期的专题学习与救治经验,成功实现了本例患者的快速有效救治。今后,团队将继续精进卒中救治能力,为高级卒中中心建设贡献力量,守护本地群众脑健康。
对于突发意识不清、肢体无力、偏侧肢体麻木、言语不清等症状,建议早期识别后,避免因等待病情缓解而延误诊治,立即拨打120急救电话,紧急送往具备脑卒中急救条件的医院就诊,以赢得最佳的抢救时间,评估是否需要静脉溶栓、急诊取栓,使患者得到最快速、最有效的救治,减少因脑卒中导致的残疾和死亡,改善患者的预后。我院作为国家级高级卒中中心、国家卫生健康委神经介入建设中心,具备脑卒中静脉溶栓、急诊取栓的条件,卒中团队365天、每天24小时全天候待命,竭力守护脑卒中患者的脑健康。我院卒中中心24小时急救电话:17876701024。
专家简介
江震钦
神经内科主任、主任医师
在内科、神经内科从事临床诊疗工作30余年,多次在省内外大型三甲综合医院包括南方医科大学南方医院、南方医科大学珠江医院、东部战区总医院(原南京军区总医院)进行为期半年到一年的神经内科、脑血管介入专业进修学习,擅长神经内科专科疾病诊疗。撰写专业论文多篇,主持并负责科研立项多项。
门诊时间:每周四全天
钟小劲
医保科科长、神经内科介入组组长、主任医师
2004年毕业于广东医科大学临床医学专业,学士学位,毕业后一直在河源市人民医院工作,从事神经内科临床工作十余年。2009年在广州市中山大学第一附属医院神经科学习一年、2013年在北京宣武医院神经介入研究所进修学习一年,回院后独立开展河源市第一例脑血管介入手术,现带领介入团队开展颈动脉、椎动脉支架植入术及动脉取栓,每年完成动脉取栓数十台。擅长神经内科各类疾病的诊断及治疗,特别是脑血管病的介入治疗。领导开展两项及参加多项市级科技研究课题,先后在国家及省级医学期刊发表论文多篇。
门诊时间:请在河源市人民医院官网或官方微信公众号上提前查询
黄运强
神经内科一区主任、主任医师
毕业于广州医科大学(原名广州医学院),曾在广州中山大学附属第一医院神经内科进修及广州南方医院神经内科ICU进修,擅长脑血管疾病(如脑出血、脑梗塞)、癫痫、脑炎、帕金森病的诊治,擅长神经危重症疾病及疑难疾病的诊治,主持市科技立项2项,发表国家级论文数篇。
门诊时间:每周四全天
朱敏真
神经内科二区主任、主任医师
河源市第一批专业技术拔尖人才,河源市医疗卫生高层次人才。2009年全日制神经病学硕士研究生毕业于于南方医科大学。2013年、2017年先后两次在原第三军医大学附属西南医院及北京天坛医院进修神经介入。擅长脑血管病、癫痫、中枢神经系统感染等神经疾病诊治,主要从事缺血神经介入临床诊疗工作,对脑血管病介入诊疗技术有深入研究,2019年团队率先在河源地区开展经桡动脉途径神经介入诊疗,擅长脑血管支架置入术、急性缺血性脑血管病血管内介入治疗术等。主持广东省医学基金1项、河源市科技立项3项,第一作者负责课题获河源市科学技术进步奖二等奖1项。发表中文、SCI论文10余篇。
门诊时间:每周三全天
马国奋
神经内科三区主任、主任医师
曾在中山大学第一附属医院神经内科、广州医科大学附属第二医院癫痫中心进修。擅长脑血管病、癫痫、中枢神经系统脱髓鞘疾病、帕金森病及神经内科疑难病的诊治。参加多项市级立项、科技研究课题的开展,并获2016年市科技进步二等奖;先后在国家及省级医学期刊发表论文多篇,并获得河源市第十一届、十二届、十三届自然科学优秀学术论文三等奖。
门诊时间:每周二全天
钟广宏
神经内科主治医师
硕士研究生,毕业于广州医科大学,目前从事缺血神经介入临床诊疗工作,对脑血管病、中枢神经系统感染、周围神经病、头晕、头痛等常见疾病具有较丰富临床经验,参与广东省医学科研基金两项,发表SCI及核心期刊论文多篇。
门诊时间:请在河源市人民医院官网或官方微信公众号上提前查询
张文胜
神经内科主治医师
神经病学硕士研究生,在读南方医科大学博士研究生,毕业于广州医科大学,擅长脑血管病、神经介入、眩晕、中枢神经系统感染、神经免疫、神经科急危重症的诊治,擅长经颅多普勒脑血流监测,主持广东省医学科研基金3项,主持河源市科技计划项目2项,发表医学SCI及中文论文20余篇,先后在全国静脉溶栓比赛决赛获三等奖、全国介入取栓病例比赛决赛获第3名。
门诊时间:请在河源市人民医院官网或官方微信公众号上提前查询
古鸿力
神经内科主治医师
毕业于广东医科大学,目前从事缺血神经介入临床诊疗工作,对脑血管病、头晕、头痛、颅内感染、周围神经病变等常见疾病具有较丰富临床经验,参与多项广东省医学科研基金,发表SCI期刊论文多篇。
门诊时间:请在河源市人民医院官网或官方微信公众号上提前查询












