栏目分类
新闻中心
【省医在河源,名医在身边】静疗实践课——下肢静脉PICC置管术
来源: 发布时间:2022/1/10 作者:黄晓琴 张静 阅读数:5011
依托省医专家团队的强大技术支持,静疗专家李柳英副主任在呼吸与危重症学科为一例左上肺肿瘤压迫上腔静脉、不适宜上肢置管的患者顺利完成B超引导下的下肢静脉PICC置管术,为培训班的学员们上了一堂实实在在的临床PICC实践课。
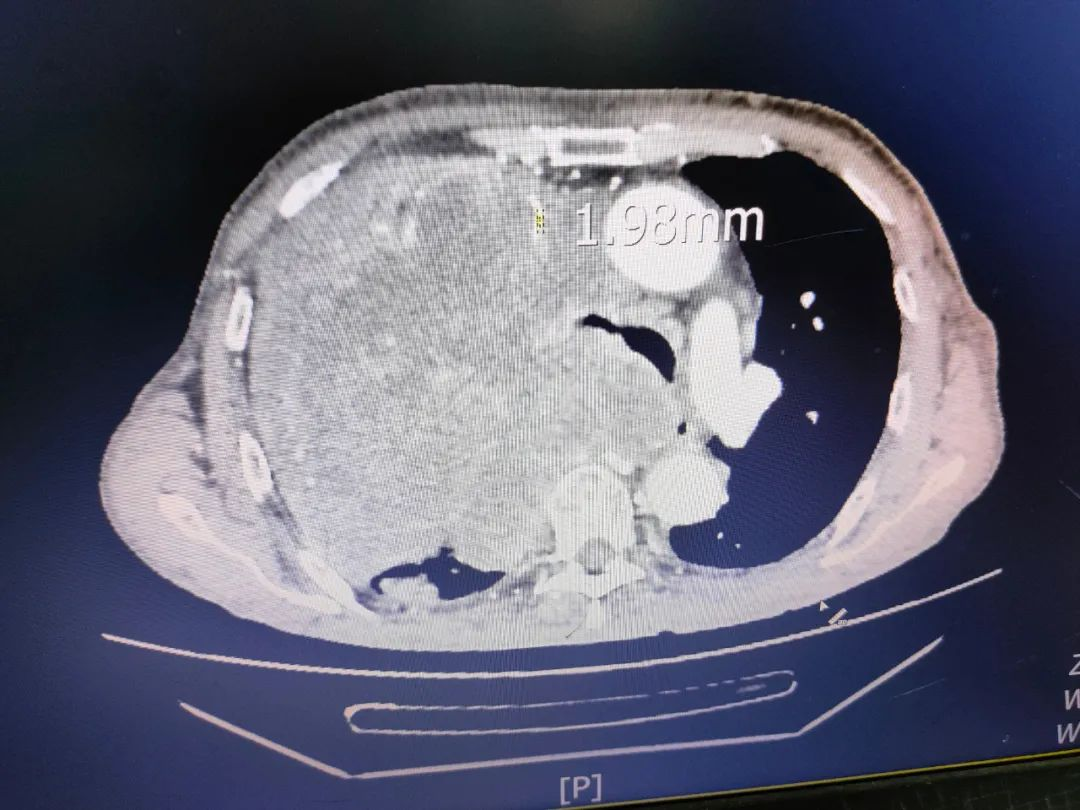
病例介绍:患者胡某某,诊断右肺上叶中央型肺癌并多发转移。确定治疗方案后,呼吸与危重症医学科学科带头人罗少华主任首先想到的就是让静疗专家会诊,为患者选择安全的静疗通路。李柳英副主任了解了患者病情,查看CT片,左上肺肿瘤的大小为152mm×141mm×167mm(前后×左右×上下径),最大直径占满左胸腔,上腔静脉严重压迫,上腔静脉最小管径1.99mm,患者出现上腔静脉压迫综合征,上腔静脉压迫综合征是上肢PICC置管、输液的绝对禁忌症,经与管床医生充分讨论后,决定经患者下肢置入PICC进行治疗。
PICC置管操作培训现场
置管现场:李柳英副主任示范穿刺点消毒,指导肿瘤科二区护士长魏雪玲置管,李柳英副主任从下肢置管部位选择、B超定位、测量长度、消毒、穿刺、置入导管、宣教指导等逐一解说,结合上肢置管的区别提醒注意事项,整个过程患者平静配合未诉不适,下床行走自如,操作顺利完成,包括罗少华主任在内20余名医护人员现场观摩并交流,大家都被身边的省医护理专家所鼓舞,求知欲望强烈,期待下一次的静疗实践。



