栏目分类
新闻中心
【省医在河源,名医在身边】呼吸与危重症医学科开展输液港植入术
来源: 发布时间:2022/1/15 作者:巫雄辉 阅读数:6767
近日,我院呼吸与危重症医学科团队在学科带头人罗少华主任的带领下,为一晚期肺癌患者施行输液港植入术,为肺部恶性肿瘤患者的治疗打通最后“一公里”。
患者李某,增强CT扫描提示“左肺上叶中央型肺癌,侵犯左侧斜裂胸膜,伴左肺门多发淋巴结转移”,罗少华主任带领科室团队为患者行CT引导下经皮肺穿刺活检术,根据病理结果确诊为“左肺上叶鳞状细胞癌IV期”,制订治疗方案为化疗联合免疫治疗。因为需要行多周期化疗,且化疗药物输液外渗可能导致严重后果,所以化疗一般采取输液港植入或PICC置管。经知情同意,罗少华主任在手术室为患者行输液港植入术,术后第二天顺利行化疗+免疫治疗。
罗少华主任医师为患者行输液港植入术
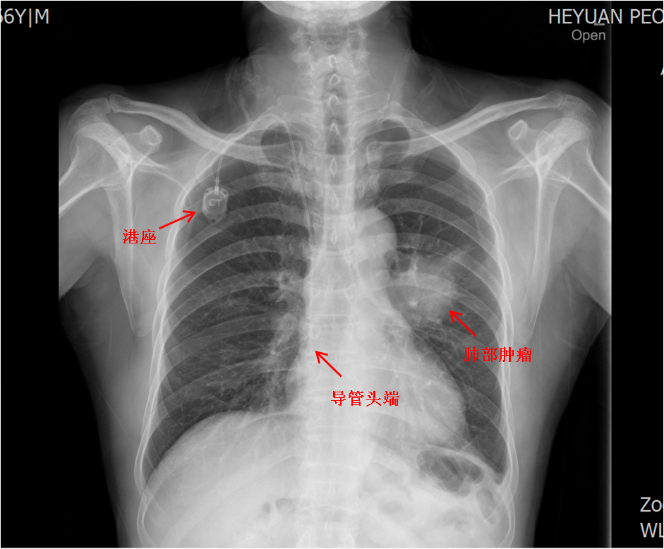
输液港植入术后常规行胸片检查,确认港座及导管头端位置
输液港,对应英文简称为Port,全称为“完全植入式静脉通路系统”,是完全植入人体内的闭合输液装置,可为患者提供长期的静脉血管通道。很多肿瘤病人及家属对输液港并不陌生,肿瘤患者由于病程长,治疗方案多,需反复接受化疗、营养支持等治疗,传统的输液方法通过外周表浅静脉穿刺注射液体,易引起浅静脉炎、药液渗漏、局部硬肿,甚至大面积组织坏死等并发症,给患者造成了很大的痛苦。而植入输液港就能很好地解决上述问题,如今输液港在各级医院越来越普及,尤其适合长期化疗、反复抽血、输血及需要长期静脉营养的恶性肿瘤患者,因此也被称为“化疗神器”。另外,关于置管深度问题,理想的导管头端应位于上腔静脉下段与右心房交界处,通常,呼吸科患者的深度较其他专科患者略深,因为前者容易咳嗽,剧烈咳嗽导致胸腔压力升高,导管有可能折叠或逆向漂移到颈内静脉,此时,输液港在调整前不宜使用。
与其他静脉输液方式相比,输液港存在很多优势:
1.隐蔽:Port完全植入体内,不会像深静脉穿刺导管(CVC)或者PICC导管那样外露在患者体外。一般将输液港埋置在前胸壁,伤口愈合以后完全没有外露部分,保护个人隐私。
2.安全且并发症较少:与其他常见的深静脉穿刺导管(PICC、CVC)相比,Port留置期间血栓相关风险较低,导管相关性感染风险也较低。
3.护理方便:PICC置管管路留置可以达到1年,而Port可以使用至少5年甚至是终身。日常维护也无需每周护理,只要一个月维护一次即可,避免多次往返医院。
4.不影响生活:由于港体位于皮下,不影响患者日常生活,如游泳、洗浴等等都可以和健康人一样,也不影响美观,患者生活质量明显提高。
5.痛苦较少:输液时将专用无损伤针垂直穿刺入输液港港体,可以连用7天,不用忍受反复扎针的痛苦和恐惧,也很好的保护了外周血管。对血管条件差,需要反复输液的病人是最佳的选择。
输液港工作模式图
肺癌发病率在我国高居恶性肿瘤首位,已成为国人健康的重大威胁。罗少华主任医师是广东省人民医院派驻我院呼吸与危重症医学科的学科带头人,擅长以呼吸内镜介入为主的多种技能及肺部肿瘤的全程综合管理。在他的带领下,我院呼吸与危重症医学科已顺利开展多项新技术,如内科胸腔镜下胸膜活检手术、CT引导下经皮肺穿刺活检术、输液港植入术等,丰富了肺癌诊疗手段,确诊率明显增加。开展输液港植入术更是为肺部恶性肿瘤患者的治疗打通最后“一公里”,使该科诊断及治疗方面有了质的飞跃,达到了较高的学科水平,让河源及周边地区的肺部恶性肿瘤患者在家门口就可以享受到省级医院的诊疗水平。




