栏目分类
新闻中心
【省医在河源,名医在身边】呼吸与危重症医学科开展首例经支气管镜激光消融术
来源: 发布时间:2022/2/17 作者:陈勇 阅读数:6331
近日,我院呼吸与危重症医学科在省医派驻专家罗少华主任的带领下,开展我院首例经支气管镜激光消融术,经治疗后患者病情好转出院。
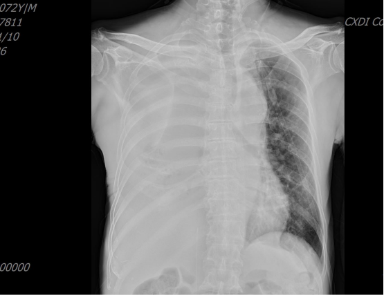
患者胡伯,72岁,因“咳嗽、气喘8月余”入住我院呼吸与危重症医学科。行胸部增强CT扫描示:右肺上叶中央型肺癌并右肺门、纵隔多发淋巴结转移,并右肺中下叶阻塞性肺炎;气管镜示:右上叶支气管开口闭塞、肿瘤生长,右中间支气管新生物,堵塞大部分管腔;气管镜下行病理活检,结果提示低分化鳞癌;诊断明确为:右上肺鳞癌(IV期)。患者已无手术适应症,遂予化疗+免疫治疗,经治疗后,患者仍有明显气促,复查胸片提示右肺上叶中央型肺癌并右肺中下叶阻塞性肺不张;罗少华主任查房后指出:患者气促加重,是气道内肿瘤堵塞管腔致右中下叶不张所致,考虑与治疗后肿瘤坏死或并发感染有关,可行经支气管镜介入治疗,对气道内肿瘤行激光消融术,消融的重点是打通右中间支气管,以消除右中下肺不张;而右上叶几乎为肿瘤占据,再通意义不大。
(左图)胸部CT见右主支气管明显狭窄(红色箭头为肿物堵塞狭窄右主支气管,绿色箭头为正常的左主支气管);(右图)肺部CT:巨大肿物占据整个右上肺叶
气管镜(术前):右主支气管及中间支气管新生物,堵塞大部分管腔
胸片(术前):右肺上叶中央型肺癌并右肺中下叶阻塞性肺不张
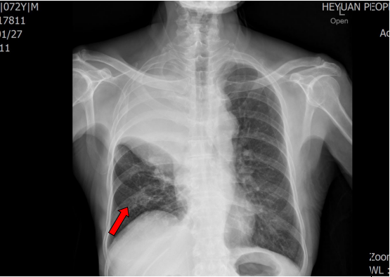
经过术前充分准备,罗少华主任带领气管镜室团队在表面麻醉下为患者行经支气管镜激光消融术,气管镜下见右中间支气管新生物堵塞管腔,行激光消融,仅半个小时就清除了管腔内大部分肿瘤组织,手术实施过程顺利,右中间支气管恢复畅通。术后患者呼吸困难明显缓解,复查胸片右中下肺叶复张,患者恢复良好,已出院。
罗少华主任为患者行经气管镜激光消融术
气管镜(术后):右主支气管及中间支气管管腔内大部分肿瘤组织被清除
胸片(术后):右中下肺叶复张
罗少华主任指出,近年来,经支气管镜介入治疗已经成为呼吸系统疾病治疗的重要手段。各种良恶性气道狭窄性病变都可以通过支气管镜介入技术来治疗,其创伤小、疗效可靠,对于无法手术的恶性肿瘤可以达到缓解症状、姑息治疗的目的。经支气管镜介入治疗包括激光治疗、微波治疗、高频电治疗、氩等离子体凝固治疗(APC)、冷冻治疗、光动力学治疗、近距离放疗、气道支架治疗和球囊扩张治疗等。激光穿透组织能力强,能准确聚焦于病变部位,对周围组织热损伤小,尤其可确保局部操作精确安全,在消融气道疾病方面如气道肿瘤、肉芽肿、残留金属支架等,有较好的疗效。激光有多种类型,例如钬激光、半导体激光、Nd:YAG(掺钕-钇石榴石)激光等。钬激光具有超强的切割能力,主要以水为靶细胞组织的吸收,其“爆破”力可为碎石所用。半导体激光对组织具有气化及止血作用,能量输出模式为连续性。Nd:YAG激光特点是结合水和血红蛋白为靶细胞组织吸收,切割和止血效果理想;本次手术使用的正是超脉冲Nd:YAG激光,超脉冲式的能量输出更高效地进行组织的气化,不易造成周围组织的热损伤,且术中止血效果理想,这些特点确保了手术安全高效地完成,故Nd:YAG激光在气道介入手术中逐渐得到日益广泛的运用。
在罗少华主任带领下,呼吸与危重症医学科已经开展了经支气管镜肿瘤冷冻治疗、肿瘤套扎治疗等技术,现开展的激光消融术为气道狭窄特别是气道肿瘤患者的治疗提供了新的方向、思维,填补了我院该技术领域的空白。







