栏目分类
新闻中心
【省医在河源,名医在身边】省医河源医院成功施行首例TAVR手术
来源: 发布时间:2022/2/22 作者:廖成标 阅读数:5226
2月15日(元宵节),省医河源医院院长何鹏程教授带领心血管团队成功为高危主动脉瓣狭窄患者施行河源地区首例经导管主动脉瓣置换术(TAVR),在为患者家庭带来团圆喜庆的同时,也带来了河源地区心血管治疗技术的新突破,提升了河源地区心血管治疗水平到新高度。
患者是年近80岁的蓝姨,入院前已经反复出现胸闷、呼吸困难、心跳异常并晕厥过2次,经心脏彩超检查明确为主动脉瓣严重狭窄。主动脉瓣是血液从心脏泵出到主动脉进而供应全身所必经的大门,这扇大门的狭窄(堵塞)意味着即使心脏加强收缩,也无法把血液顺利地泵出,不但人体主要器官会因为供血不足而出现各种症状(如蓝姨脑缺血引起了晕厥),心脏也会由于长期高负荷运作而导致心功能下降甚至衰竭。据资料统计,这类患者在出现症状后,2年内死亡率可高达50%,而主动脉瓣置换是挽救患者生命最根本最核心的治疗方式。主动脉瓣置换有外科手术置换和经导管置换两种方式,由于经导管主动脉瓣置换具有创伤低(不用开刀)和恢复快等优势,对于由于体质严重衰弱等无法耐受外科手术的患者,经皮主动脉瓣置换是他们延长生命,重返健康的唯一出路。蓝姨不但年近80岁,体重还不足40公斤,同时合并严重贫血和营养不良,状况较差,病情复杂。何鹏程院长组织心内科、心外科、超声医学科、影像科、麻醉科、重症医学科(ICU)等多学科团队进行联合会诊后,一致认为患者不适合行传统外科手术主动脉瓣置换,经导管主动脉瓣置换术(TAVR)是理想的选择。
主动脉瓣狭窄示意图
虽然经导管主动脉瓣置换不需要开刀,部分患者甚至不需要全身麻醉(局部麻醉即可),但并不意味着经导管主动脉瓣置换的技术要求低。恰恰相反,由于所有的操作都只能在显示屏影像的导引下,通过在体外操控从患者大腿血管进入到患者心脏的导管来完成,术者既不能直接目视心脏也不能直接对心脏进行处理,这对术者对于心脏结构的认识以及操作的果断性和精细度都有很高的要求。另一方面,经皮主动脉瓣置换,术前、术中和术后的诊疗过程涵盖心内科、心外科、麻醉科、影像超声科、重症监护室、介入导管室等多个学科团队,必须要上述各学科通力协作才可能顺利实施,相关学科不仅要达到相应水平,而且还要统筹协调紧密配合,这就对医院的整体水平和综合管理提出了很高的要求。广东省人民医院是华南地区最早实施经导管主动脉瓣置换的医院之一,经导管主动脉瓣置换团队的手术量位居国内前列,在术前病情评估、手术策略制订及术后监护康复全流程具有丰富的经验。手术当天,何鹏程院长亲自披挂上阵,在国内知名的心血管专家广东省人民医院罗建方、李捷、郭晓刚等多位教授团队的支持下,在廖成标、乐建华和张惠琪等心血管团队的配合下,不到2小时就顺利完成了从穿刺大腿血管到主动脉瓣置换全过程,术后蓝姨状态良好,胸闷、呼吸困难等症状明显缓解。
术前讨论
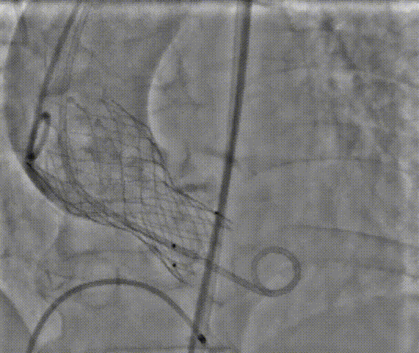
术中操作
植入的主动脉瓣膜
多学科专家团队
首例经导管主动脉瓣置换术(TAVR)的顺利施行,标志着我院心血管专科发展及高水平医院建设进入新高度。何鹏程院长表示,心血管疾病的治疗越来越强调多学科综合治疗,广东省人民医院的心内科、心外科、心儿科以及心血管麻醉科、心血管监护室等学科技术优势明显,具有强大的心血管综合诊疗能力,可以为心血管患者提供全面的、一站式的心血管诊疗服务。借助跨区域紧密型帮扶的契机,随着广东省人民医院心血管团队的进驻,广东省人民医院河源医院上述各心血管专科的诊疗水平迅速提升,各项新技术、复杂技术广泛开展,为河源百姓提供了更先进、更综合、更全面的心血管诊疗服务。
专家简介
何鹏程
广东省人民医院河源医院党委副书记、院长,主任医师,医学博士,博士研究生导师在美国心脏病学会(ACC)、欧洲心脏病学会委员(ESC)、亚太心血管介入学会委员(APSIC)和美国心血管造影和介入学会委员(SCAI)等多个国际性心血管学术组织担任委员,并任亚太心血管介入治疗大会课程副总监。手术病例获美国经导管心血管治疗年会(TCT)挑战性病例、欧洲介入心脏病大会(Euro PCR)挑战性病例,并获中国青年医师冠脉分叉病变大赛全国总冠军,多次赴美国、日本及印度等多国进行手术演示及带教。
心血管内科咨询电话(一区:3185485;二区:3185776;三区:3185637)







