栏目分类
新闻中心
【省医在河源,名医在身边】患者生命线的守护者
来源: 发布时间:2022/7/29 作者:江巧霞 邓春桃 阅读数:4855
近日,我院静疗小组再次为两位疑难、危重患者排忧解难,守住了静脉输液的生命线。
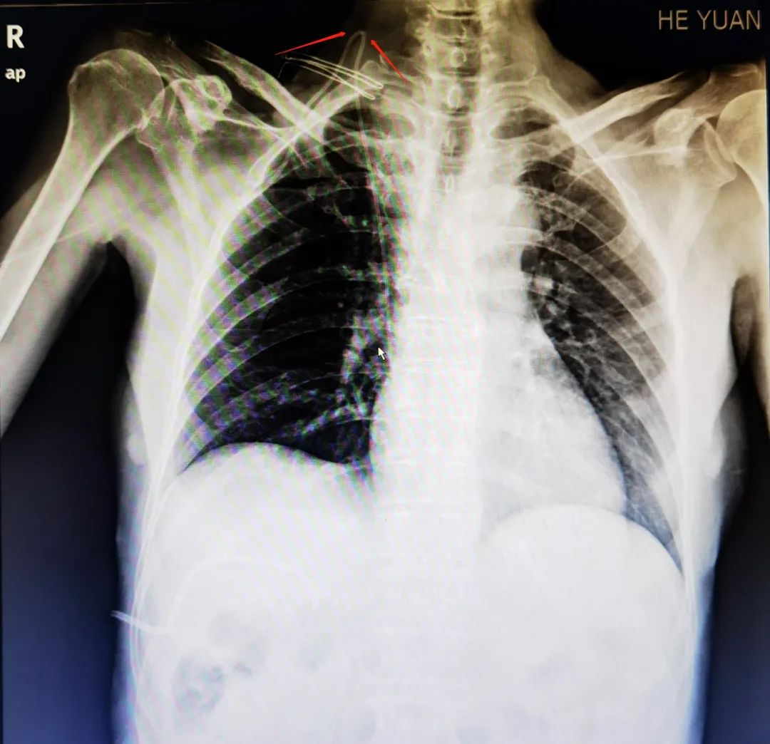
患者颜某某,确诊胰头中低分化腺癌、梗阻性黄疸,右侧颈内静脉留置胸壁输液港,入院行术前化疗。护士使用输液港前常规检查发现输液港不通畅,进一步行B超检查发现输液港颈静脉段附壁血栓形成,血栓大小约5.2mm×2.5mm,针对上述问题,常规处理是抗凝治疗后拔除输液港,但拔除输液港意味着需要重新置入输液港或置入PICC建立静脉输液通路,花费大且可能延误治疗。静疗护理专家李柳英主任护师了解情况后,查阅了患者的影像学检查资料,发现患者的静脉导管行径有“打折”痕迹(图1红色箭头标识部位),初步判断是导管打折造成的导管不通,并非局部血栓形成堵塞静脉导管,建议手术调整静脉导管走行以恢复导管功能,经手术处理后,患者的输液港恢复通畅,可正常使用,生命线重新开通。
红色箭头为患者输液港打折处
患者何某某,是脑出血术后合并肺结核患者,术后意识不清、辅助人工通气,卧床时间长,合并肺部感染、下肢肌间静脉血栓形成,患者每日需要接受甘露醇脱水、抗生素抗感染及静脉营养治疗,相关药物多数是高渗或刺激性液体,且患者外周血管条件差,静脉穿刺非常困难,遂于5月5日在右上肢深静脉置入PICC,置管后两周患者出现右上肢肿胀,臂围增加8cm,床旁彩超示PICC置管侧肢体的右侧锁骨下静脉、腋静脉、贵要静脉上臂段、右侧肱静脉近心段、右侧头静脉前臂段血栓(完全性)形成。因患者病情复杂,科室组织院内MDT会诊,李柳英主任护师作为静疗护理专家参加MDT,李柳英主任护师详细查看患者后,指出PICC对该患者的后续治疗非常重要,目前患者合并静脉导管相关全身感染证据不足,静脉血栓在可控范围,如通过血培养排除导管相关性感染后,可继续保留并使用PICC进行输液治疗,选择安全的抗凝药如低分子肝素抗凝、辅以抬高局部促回流等方法消除血栓并消除局部肿胀,但要注意避免局部按摩以防血栓脱落。进一步完善血培养,结果为阴性,排除导管相关性感染,在积极抗凝及物理治疗后,患者上臂肿胀逐渐消退,恢复良好,未再出现任何PICC相关并发症,PICC正常使用至今已经2月余。在患者恢复后,其家属感慨说道,“我当时非常担心我妈的PICC拔除后输液治疗该怎么办,你们亲切随和的态度,熟练精湛的专科技术,细致入微的护理,让我们感到了温暖,真的很感谢你们!”
在李柳英主任护师的指导下,我院静疗护理的理念及操作技术水平得到不断更新、完善和进步,我院专科护理技术水平再上新台阶。


