栏目分类
新闻中心
【科普】世界干燥综合征日 ——口干眼干?可能是得了干燥综合征
来源: 发布时间:2022/7/29 作者:邢妙钿 谢悦胜 阅读数:5549
7月23日为世界干燥综合征日,干燥综合征的发生是因为人体内的免疫系统发生紊乱,免疫细胞不分敌我,攻击外分泌腺体(主要是泪腺和腮腺),所以患者会有眼干、口干、皮肤干燥等症状。患者血清中存在多种自身抗体,除有唾液腺、泪腺功能受损外,可出现皮肤、关节肌肉、肺、肾、神经、血液等多脏器多系统受累。
该病的发病率约在0.33%-0.77%,以14亿人口计算,中国约有462万-1078万名患者。一个典型的特征是,这个疾病的患者绝大部分是40多岁的中年女性,平均10个患者中有9个是女性。发作常以口干、眼干多见,起病较为隐匿,患者常出现龋齿、自觉饮水增多、双眼干涩,多数就诊于口腔科、眼科,或因症状对日常生活无明显影响,未予重视。
怎样才能确诊干燥综合征?
干燥综合征起病隐匿,尤其是中国患者的发生眼干、口干的频率低于欧美,让诊断变得更加困难,但可以借助一些实验室检查手段来帮助诊断:
1.唾液流率检查:测量唾液分泌速度,≤15ml/分钟。
2.血清学检查:抗 SS-A 和抗 SS-B 抗体阳性。
3.唇腺病理活检:广泛的淋巴细胞浸润,CD4+T 细胞、浆细胞和巨噬细胞增多;内管壁增厚。
如果你有上述干燥症状,无法通过喝水、滴眼药水缓解,不妨去风湿免疫科寻求帮助,看看是不是患有干燥综合征。
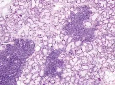
唇腺活检
唇腺病理:可见灶性淋巴细胞聚集
有哪些治疗手段和药物?
目前还没有一种专门的药物获批用于干燥综合征,但针对症状和并发症可以采用相应的治疗手段,比如:
1.可以用非甾体类抗炎药物(NSAID)缓解炎症和疼痛。
2.用糖皮质激素、免疫调节/抑制剂、生物制剂来抑制免疫反应,治疗严重的并发症。
3.毛果芸香碱等可以增加腺体分泌,缓解干涩。
患者有哪些注意事项?
1.无论是怀疑得病,还是新诊断或者多年老患者,都需要去寻求专业医生的帮助,按照医嘱服药,及时与医生沟通病情变化。
2. 保持健康的生活方式:吸烟、摄入酒精和咖啡因都会加重干燥症状,应该尽量避免摄入;保持充足的睡眠,运动可以对抗疲劳和减缓压力。
3. 非甾体类抗炎药 (NSAID) 可以与食物或牛奶同服,减少胃部不适的发生。
4. 还有一些生活小妙招:
(1)使用加湿器缓解鼻部干燥;
(2)随身携带人工泪液,避免风扇直吹,不要长时间盯着电子屏幕;
(3)注意物理防晒,佩戴太阳镜;
(4)感觉吞咽困难时,进食柔软、含水量多的食物;
(5)不要用含有酒精和金缕梅的漱口水,会加重口腔干涩;
(6)温水洗澡,避免使用肥皂,沐浴后尽快涂抹乳液密封水分等。
攻克干燥综合征,风湿免疫科在行动:
干燥综合征起病隐匿,病情往往多年迁延不愈,患者眼干口燥,视物模糊不清,进食味同嚼蜡,其痛苦常无以言状,且可累及血液系统、肾脏、消化道、神经系统及呼吸系统,如果能够早期确诊,及时给予有效对症治疗,病情多可控制,从而减轻疾病对机体造成的损害。风湿免疫科将与眼科、口腔科、血液内科、肾内科、消化内科、神经内科、内分泌科、呼吸与危重症医学科、放射科、病理科协作组成多学科诊疗团队(MDT),携起手来共同战胜这一疾病!
谢悦胜副主任带领我科医生行唇腺活检术
小贴士:唇腺活检是诊断干燥综合征的一项重要客观依据,是其他无创检查所不能取代的。唇腺病理若显示腺体有灶性淋巴细胞浸润>50个/4mm²则有诊断意义。
风湿免疫科咨询电话:3185726



