栏目分类
新闻中心
【省医在河源,名医在身边】心血管内科完成广东省内首例冠脉介入日间手术
来源: 发布时间:2023/1/5 作者:罗德谋 阅读数:6983
近日,在何鹏程院长带领下,我院心血管内科成功为两名冠心病患者启动冠脉介入“当天入院当天诊疗”工作,即冠心病患者从入院到接受手术治疗再到出院全流程在当天内实现,保障了患者的需求,落实“以患者为中心”的宗旨。手术由心血管内科张惠琪主任医师和省医派驻专家罗德谋博士共同完成。
冠脉介入手术医生在为患者施行手术
病例1:患者邓某,60岁,合并高血压、肥胖等多年,这次因“反复胸痛4月”入院。邓某4个月前逐渐出现活动、劳力或者紧张诱发的心前区闷痛,只有休息后才能缓解。1个月前已经在我院行心脏血管造影(冠状动脉造影)显示供血于心脏的三条血管都明显狭窄!(左前降支90%狭窄、左回旋支70%狭窄、右冠状动脉90%狭窄)。当时开通了左前降支并放了一枚支架,术后规律服用冠心病药物调养身体,计划1个月后把右冠状动脉也开通了。
病例2:唐某年仅42岁,危险因素包括高血压、糖尿病和长期抽烟。这次也是因为反复劳力后胸闷同来我院,近期心绞痛发作频繁。心脏血管CT也是显示三支血管病变。其中左前降支、左回旋支重度狭窄!
指定诊疗策略
该两名患者冠心病均诊断明确,并且近几个月出现逐渐恶化的心绞痛,判定为“不稳定型心绞痛”,若病情继续进展,很可能会发展为急性心肌梗死而进一步威胁生命。两名患者均需要接受药物治疗和冠脉介入治疗打开狭窄的血管,经过我院心血管内科团队的研判,建议患者尽早住院并开通重度狭窄的血管。
启动广东省内首例冠脉介入手术“当天入院当天手术当天出院”
何鹏程院长、张惠琪主任医师和罗德谋博士等心内科团队成员经过对患者情况的评估,认为两名患者目前状态存在共同点:冠状动脉造影或冠状动脉CT已经明确心脏血管存在明显狭窄;患者这次发病并不是急性心肌梗死,以前也没有发生过心肌梗死的情况;常规抽血显示心脏的损伤指标无异常,心脏B超也显示患者心功能尚好。经过再次讨论,认为两名患者均符合冠心病患者冠脉介入“日间手术”的条件(当天入院,当天完成手术),若恢复良好,则可当天出院:即当天完成入院-术前准备-进行介入手术-观察术后反应-出院整个流程。这样就既解决了患者心脏的手术问题,也同时避免因较长的住院时间而耽误生活跟工作。经过术者们细致认真的手术和术后观察,两位患者最终当天康复出院。
手术过程
病例1
冠状动脉造影提示右冠状动脉近段重度狭窄
利用球囊扩张后,植入一枚药物洗脱支架,狭窄基本消失
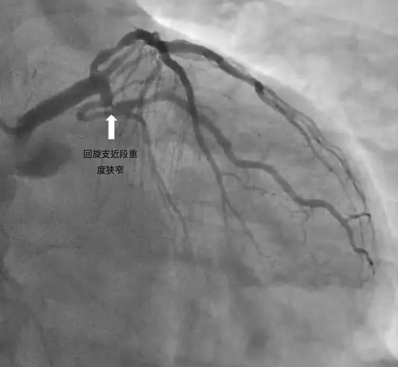
病例2
中间支的近端重度狭窄,呈次全闭塞
左回旋支近端次全闭塞
粗大中间支在植入支架后,狭窄完全消失
左回旋支近段使用药物球囊后,狭窄基本消失
点评:冠心病患者病情加重时需要接受及时的手术治疗。但是,在目前生活在都市的繁忙一族来说,无论是工作、生活还是其它各种各样事情,都会阻碍患者及时抽出时间上医院求医问药。
医务工作者不但需要去思考怎样去解决疾病本身的诊疗问题,还要努力去满足患者本身的疾病以外的合理需求。我们工作中面对的不单是疾病,更是患者。此前,国内外均有开展“日间手术”的经验,即病人当天入院并在当天接受手术,因此节省了不少时间。但是患者术后仍然需要待在病房观察病情,第二天才出院。
图为术后何鹏程院长查看患者
我院心内科团队以此次患者的诊疗为契机,针对合适的患者实行“冠脉介入手术当天出入院“方案,在1天内完成临床诊疗工作和出入院,最大限度满足这部分患者的健康需求和工作生活需求。上述大胆而成功的尝试基于心内科团队在冠心病诊疗技术上的雄厚实力与自信,目前在广东省内也是首例。经过继续不断的经验积累和技术创新,我院心血管内科团队未来还将针对合适的、有需求的患者,提供日间病房诊疗服务。










