栏目分类
新闻中心
【科普】胃不舒服或想做胃体检找B超“胃超声”
来源: 发布时间:2023/1/11 作者:高兴 阅读数:8058
随着现代医学的发展,超声造影检查已发展为临床不可缺少的一种检查,其中技术成熟的胃十二指肠充盈超声造影,以其无损伤、无痛苦、方便、快捷、准确的优势,深得大家欢迎!
胃不舒服胃镜想想就害怕钡餐X线有辐射怎么办?别慌,胃超声来帮忙!不插管、不麻醉、无痛、无创、无辐射
胃十二指肠超声怎么做?喝完一杯美味的“养生糊”(胃肠充盈超声造影剂),口感还不错,可以加盐或加糖,成分如下:
胃十二指肠超声检查适宜哪些人做?1.适宜人群❶ 所有健康体检的人群;❷ 胃不舒服的人群(包括老人、儿童、孕妇、心脏病患者、高血压患者、糖尿病患者等)。2.不适宜人群(禁忌症)❶消化道穿孔;❷消化道活动性大出血;❸ 急性胃扩张。3.胃肠超声检查能检出哪些疾病(适应症)❶ 胃十二指肠良、恶性肿瘤;❷ 胃十二指肠炎症、溃疡;❸ 先天性病变,如先天性肥厚性幽门狭窄、胃囊肿,异位胰腺等;❹ 梗阻性疾病,如幽门梗阻、贲门梗阻等;❺ 其他疾病,如胃石症,胃底静脉曲张,胃下垂、食管反流、食管裂孔疝等;❻ 治疗效果的追踪评估、介入治疗或检查等;❼ 胃十二指肠周围病变:如胆总管下段结石、胆管肿瘤、胰腺肿瘤等;
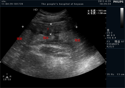
病例图:2011年11月,男,62岁,胃癌
胃超声能代替胃镜检查吗?二者相互补充,彼此不能替代。简单的说:如果把胃比喻成一个房子,胃镜可以看到墙表面的问题,而超声不仅可以看到墙表面,还能看到墙壁内部以及墙壁外面的问题。
胃十二指肠超声的不足之处有哪些?看胃十二指肠黏膜表面不如胃肠镜直观,不能活检;小于5mm的息肉在造影剂充盈时不易显示。
我院超声医学科从2009年就开展了“胃超声”检查(河源地区最早)。2010年市级科研立项《有回声型胃肠超声造影剂的临床应用价值》,2013年《口服均匀有回声型造影剂的胃肠超声造影应用价值》发表在《广东医学》。多年来,超声医学科一直在不断学习、总结和提高,努力为广大患者及临床提供更加精准的诊疗依据。
就诊流程:1.胃超声体检→门诊4楼体检科开B超申请单(彩超胃十二指肠充盈超声造影3岁以上或3岁以下)→体检科B超预约前台→预约→门诊3楼或内科2楼B超室报到→等候检查。2.胃不适→网上挂号(河源市人民医院服务号)→相关门诊就诊开B超申请单(彩超胃十二指肠充盈超声造影3岁以上或3岁以下)→门诊1楼预约中心→预约→门诊3楼或内科2楼B超室报到→等候检查。
温馨提示:1.检查前一日晚餐清淡饮食,检查前禁食8-12小时、禁饮4小时。2.超声医学科护士站:0762-3185893或0762-3185687




